Services

Crowns and Bridges   VeneersHomepage   Implants

Crowns & Bridges

 

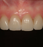
Veneers

 

Implants

         
Denture(copy)   Partial Denture homepage    

Dentures

 

Partial Dentures

 

 

About our company
Enter a succinct description of your company here
Contact Us
Enter your company contact details here